What is Valplast ?
-
Valplast ist ein hochflexibles Prothesenmaterial aus biokompatiblen, thermoplastischen Nylon mit einzigartigen physikalischen und ästhetischen Eigenschaften.
-
Valplast ist als Granulat in Aluminium-Kartuschen abgefüllt. Es wird in 3 verschiedenen Größen geliefert und steht in den Farben rosa und kristall-klar zur Verfügung.
-
Valplast wird bei einer Temperatur von ca. 300° C und einem Druck von ca. 6,5 bar in eine Spezial-Küvette injiziert.
|
 |
|
-
Valplast ist unzerbrechlich.
-
Valplast flexible Prothesen können erweitert und auch unterfüttert werden.
-
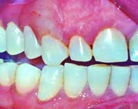
Die Transluzenz von Valplast bewirkt, dass die natürliche Zahnfleischfarbe des Patienten durchscheint und somit ein farbharmonisches Bild des gesamten Gewebes ergibt.
|
-
Valplast enthält kein Restmonomer und ist deshalb eine hervorragende Alternative für PMMA-Allergiker.
-
Valplast ist gewebeneutral, vermeidet Verfärbungen und absorbiert keine Gerüche.
-
Valplast ist ein zertifiziertes US-Medizinprodukt mit jahrzehntelangen Erfahrungen bei Millionen Prothesenträgern.
|
 |
| |
|
|
 |
| |
|
|
|